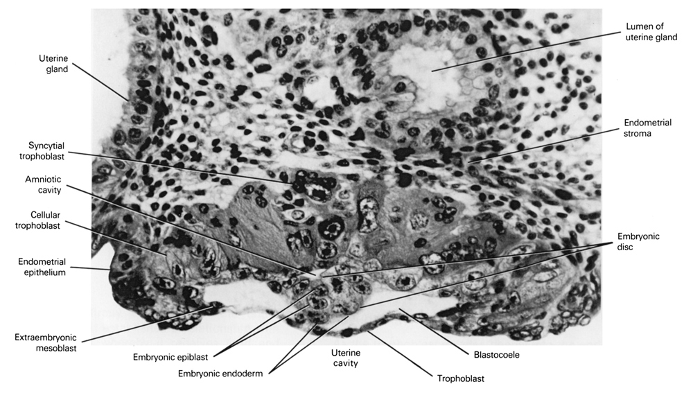
The partially implanted (bilaminar) blastocyst with the adjacent uterine wall Stage 5 Age 7 days
Carnegie collection 8020
Hertig and Rock, 1945.
Keywords: amniotic cavity, blastocystic cavity (blastocoele), cytotrophoblast, embryonic disc, embryonic endoderm, endometrial epithelium, endometrial stroma, epiblast, extra-embryonic mesoblast, lumen of uterine gland, syncytiotrophoblast, trophoblast, uterine cavity, uterine gland
Source: Atlas of Human Embryos.
