
0 μm
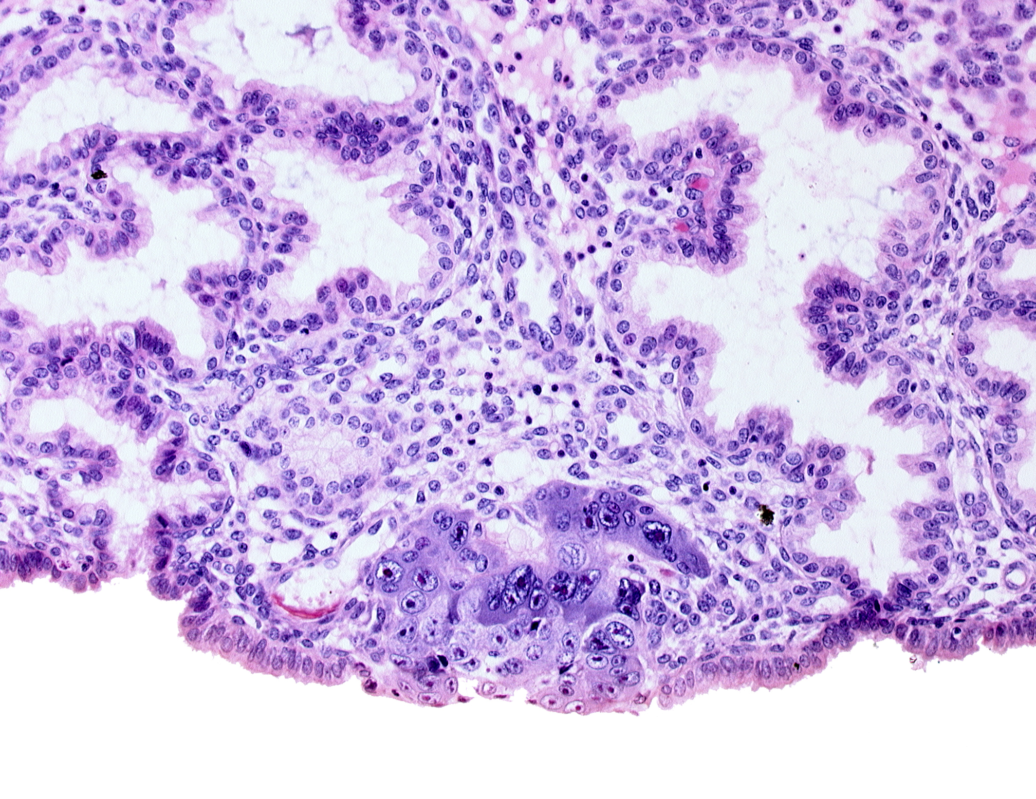
Carnegie Embryo #8155 | Location: 04-01-09
Keywords: blastocystic cavity (blastocoele), endometrial epithelium, endometrial sinusoid, membranous trophoblast at abembryonic pole, syncytiotrophoblastic mass, uterine cavity
Source: The Virtual Human Embryo.

