
0 μm
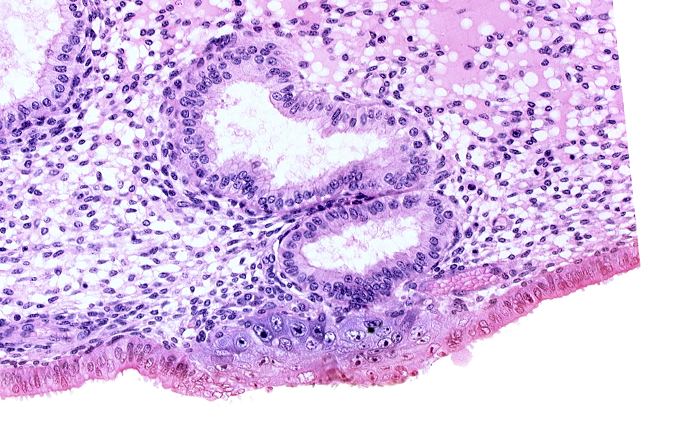
Carnegie Embryo #8020 | Location: 06-04-08
Keywords: cytotrophoblast, edematous endometrial stroma (decidua), endometrial epithelium, endometrial gland, interrupted endometrial epithelium, solid syncytiotrophoblast, uterine cavity
Source: The Virtual Human Embryo.

