
0 μm
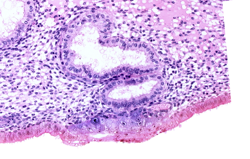
Carnegie Embryo #8020 | Location: 06-04-06
Keywords: blastocystic cavity (blastocoele), cytotrophoblast, edematous endometrial stroma (decidua), endometrial epithelium, lumen of endometrial gland, solid syncytiotrophoblast
Source: The Virtual Human Embryo.
