Skip Navigation

Carnegie Stage Section
 <   >  search results: external jugular vein Search   17-363 20-179 20-181 20-183 21-181 21-187 23-84
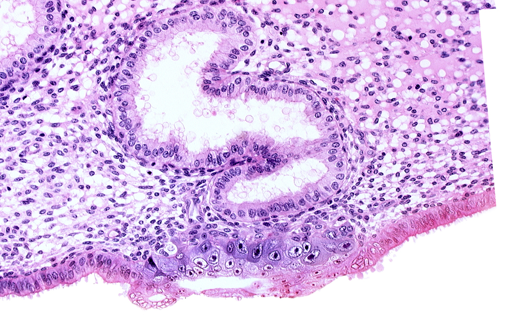
blastocystic cavity (blastocoele), cytotrophoblast, edematous endometrial stroma (decidua), endometrial gland, solid syncytiotrophoblast, syncytiotrophoblast / decidua interface, trophoblast
0 μm
Carnegie Embryo #8020   |   Location: 06-04-03

Keywords: blastocystic cavity (blastocoele), cytotrophoblast, edematous endometrial stroma (decidua), endometrial gland, solid syncytiotrophoblast, syncytiotrophoblast / decidua interface, trophoblast

Source: The Virtual Human Embryo.