
0 μm
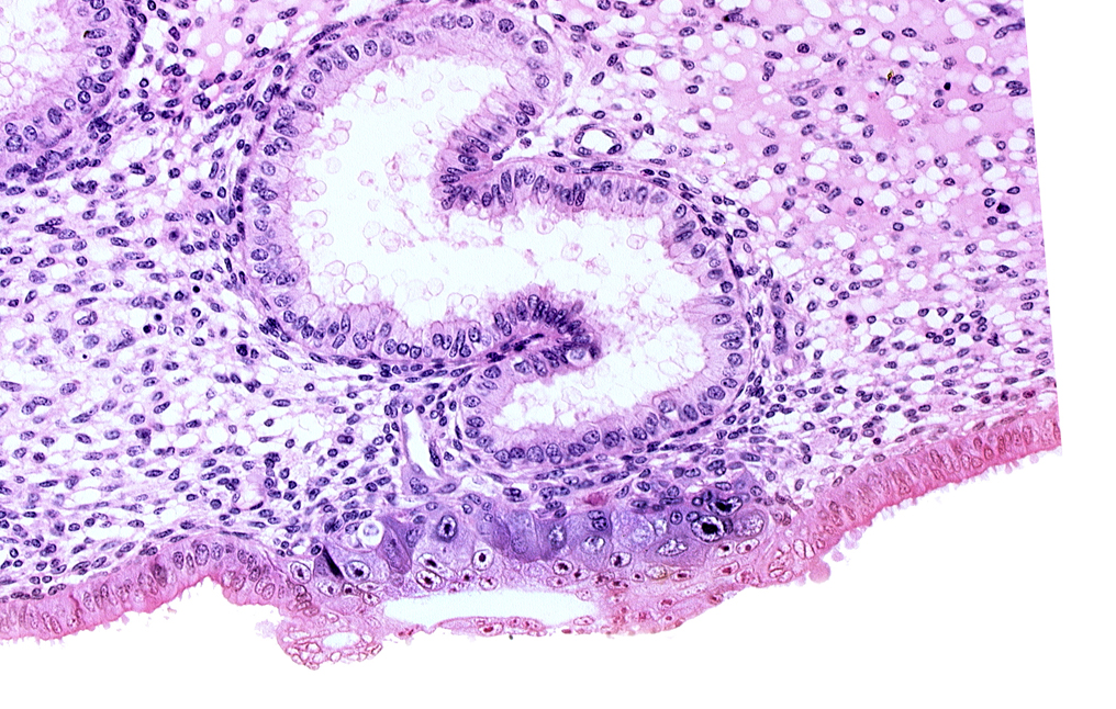
Carnegie Embryo #8020 | Location: 06-04-02
Keywords: blastocystic cavity (blastocoele), cytotrophoblast, endometrial epithelium, endometrial sinusoid, extra-embryonic endoblast, lumen of endometrial gland, membranous trophoblast at abembryonic pole, solid syncytiotrophoblast, uterine cavity
Source: The Virtual Human Embryo.
