
0 μm
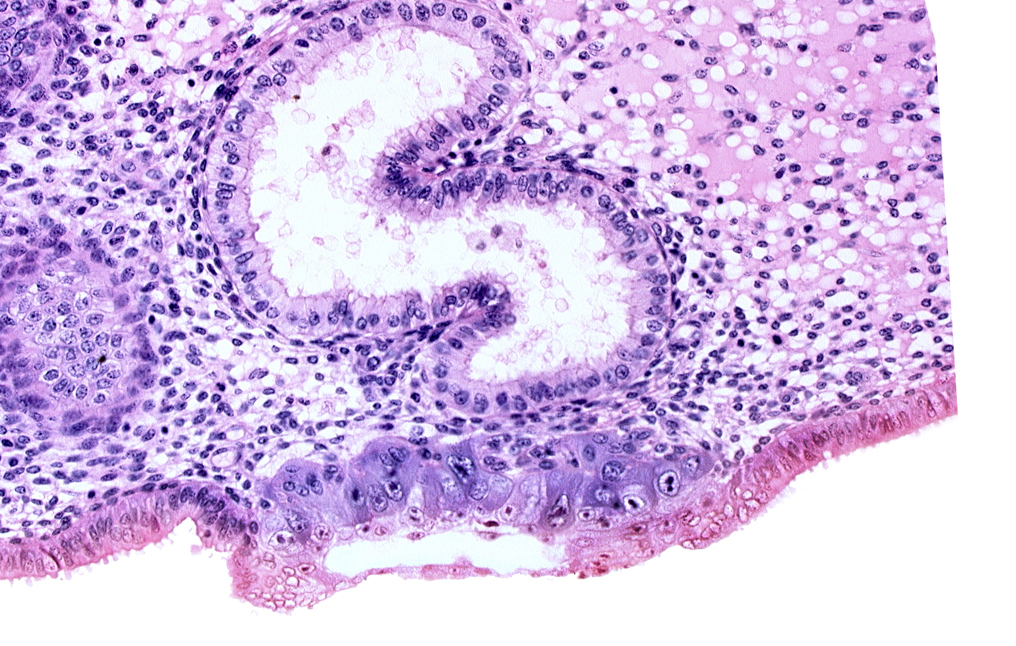
Carnegie Embryo #8020 | Location: 06-03-07
Keywords: blastocystic cavity (blastocoele), cytotrophoblast, edematous endometrial stroma (decidua), extra-embryonic mesoblast, solid syncytiotrophoblast, trophoblast
Source: The Virtual Human Embryo.
