
0 μm
Carnegie Embryo #8155 | Location: 04-02-04
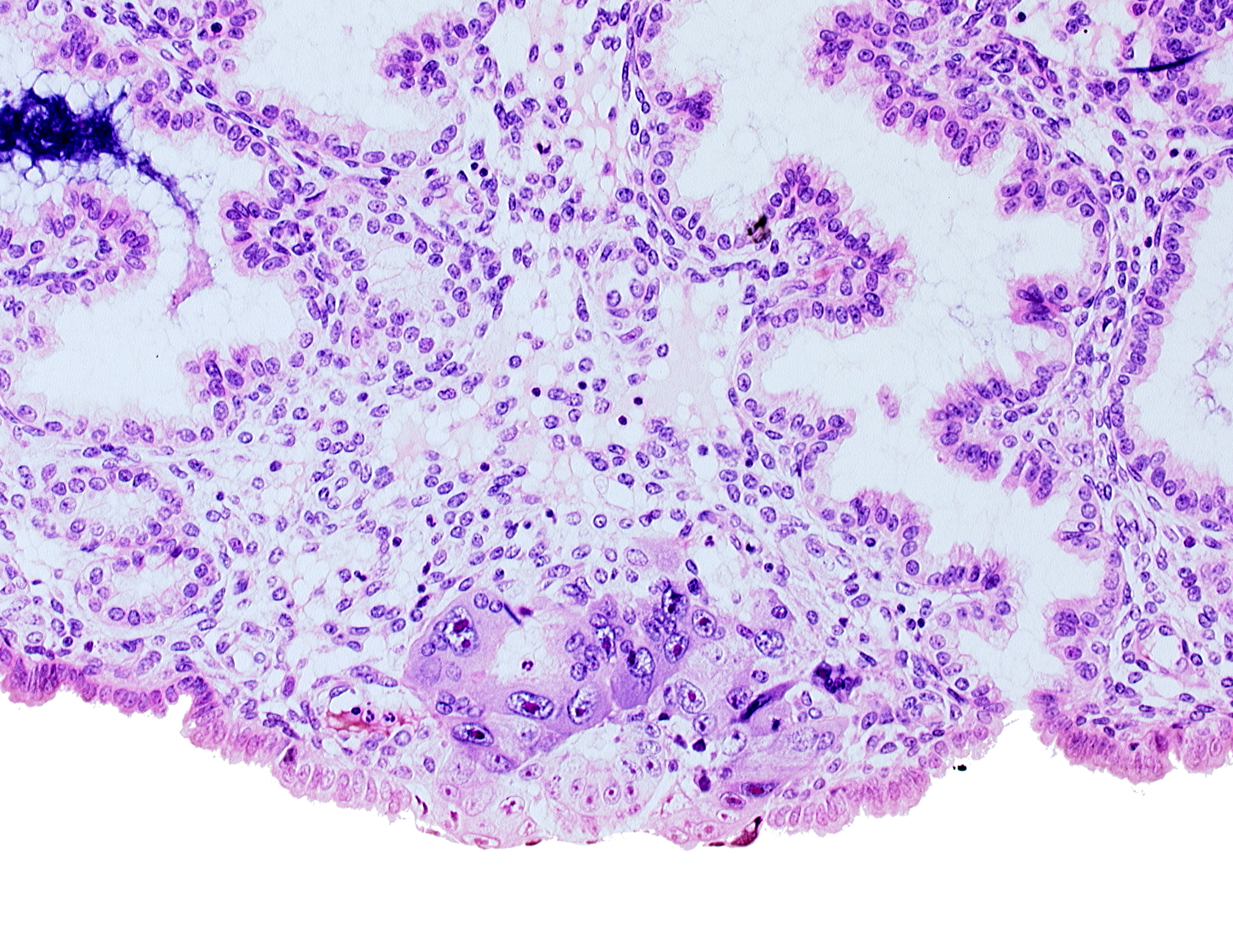
Keywords: amniotic cavity, blastocystic cavity (blastocoele), epiblast, hypoblast, lumen of endometrial gland, membranous trophoblast at abembryonic pole, mouth of adjacent endometrial gland, solid syncytiotrophoblast
Source: The Virtual Human Embryo.

