
0 μm
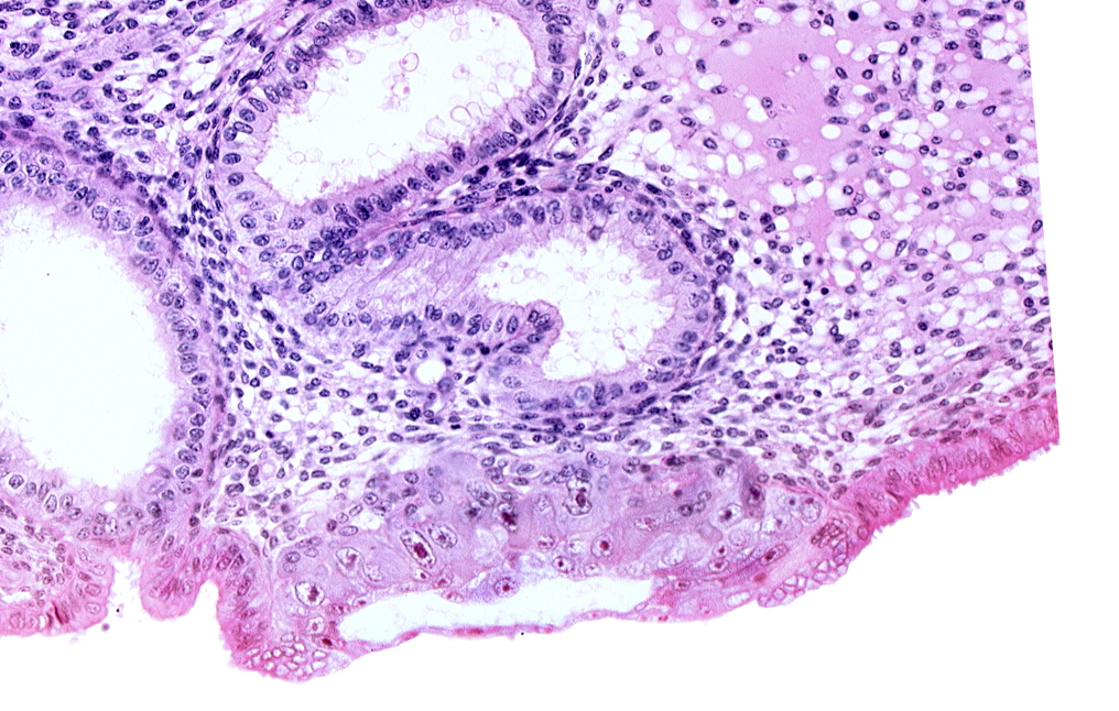
Carnegie Embryo #8020 | Location: 06-03-01
Keywords: blastocystic cavity (blastocoele), cytotrophoblast, edge of amniotic cavity, edge of embryonic disc, lumen of endometrial gland, membranous trophoblast at abembryonic pole, solid syncytiotrophoblast
Source: The Virtual Human Embryo.
