
0 μm
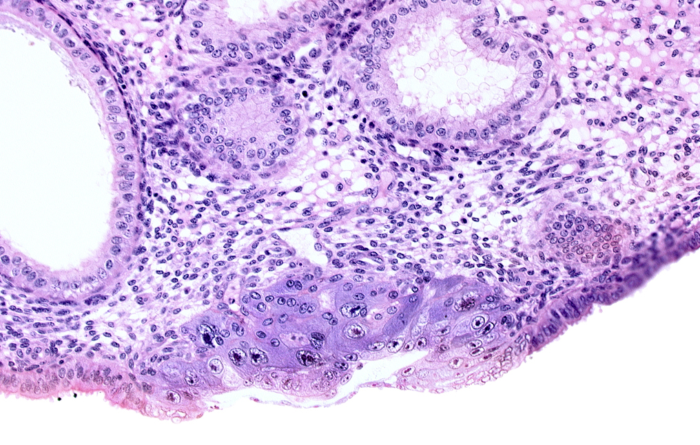
Carnegie Embryo #8020 | Location: 06-01-04
Keywords: amniotic cavity, blastocystic cavity (blastocoele), endometrial sinusoid, epiblast, extra-embryonic mesoblast, hypoblast, membranous trophoblast at abembryonic pole
Source: The Virtual Human Embryo.
