
0 μm
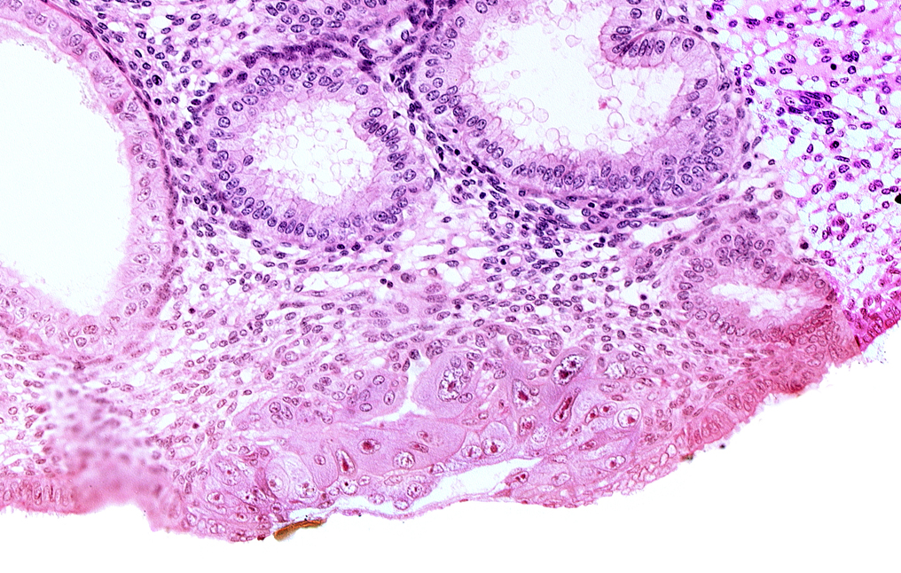
Carnegie Embryo #8020 | Location: 06-01-01
Keywords: blastocystic cavity (blastocoele), cytotrophoblast, embryonic disc, endometrial sinusoid, extra-embryonic mesoblast, membranous trophoblast at abembryonic pole, solid syncytiotrophoblast
Source: The Virtual Human Embryo.
