
0 μm
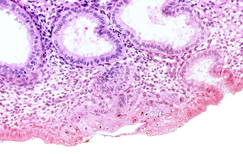
Carnegie Embryo #8020 | Location: 05-06-07
Keywords: blastocystic cavity (blastocoele), cytotrophoblast, endometrial epithelium, endometrial gland, endometrial sinusoid, membranous trophoblast at abembryonic pole, mouth of endometrial gland, uterine cavity
Source: The Virtual Human Embryo.

