
0 μm
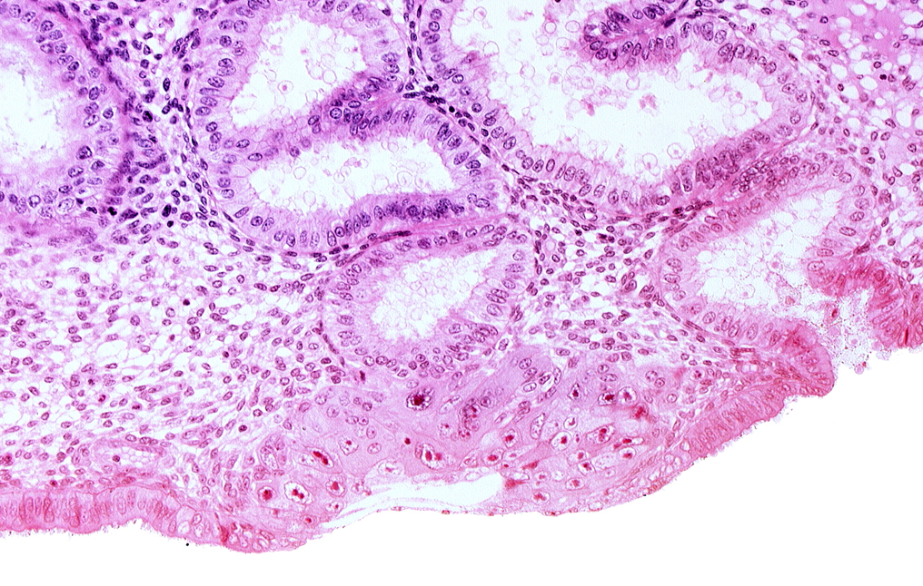
Carnegie Embryo #8020 | Location: 05-06-03
Keywords: blastocystic cavity (blastocoele), cytotrophoblast, junction of endometrial gland and syncytiotrophoblast, lumen of endometrial gland, membranous trophoblast at abembryonic pole, solid syncytiotrophoblast
Source: The Virtual Human Embryo.
