Skip Navigation

Carnegie Stage Section
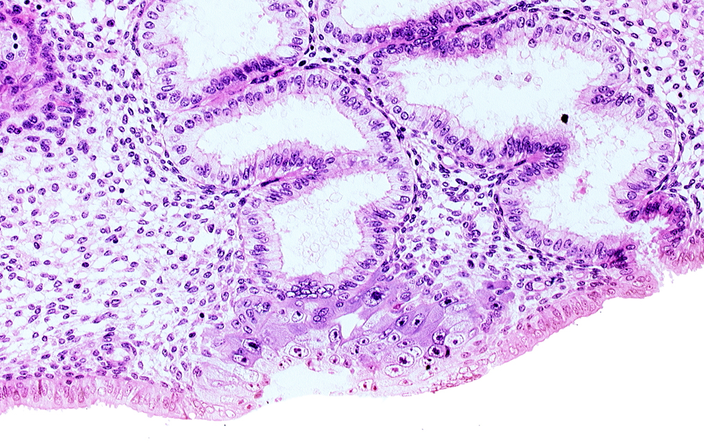
blastocystic cavity (blastocoele), cytotrophoblast, endometrial epithelium, endometrial sinusoid, junction of endometrial gland and syncytiotrophoblast, membranous trophoblast at abembryonic pole, space(s) within syncytiotrophoblast
0 μm
Carnegie Embryo #8020   |   Location: 05-05-08

Keywords: blastocystic cavity (blastocoele), cytotrophoblast, endometrial epithelium, endometrial sinusoid, junction of endometrial gland and syncytiotrophoblast, membranous trophoblast at abembryonic pole, space(s) within syncytiotrophoblast

Source: The Virtual Human Embryo.