
0 μm
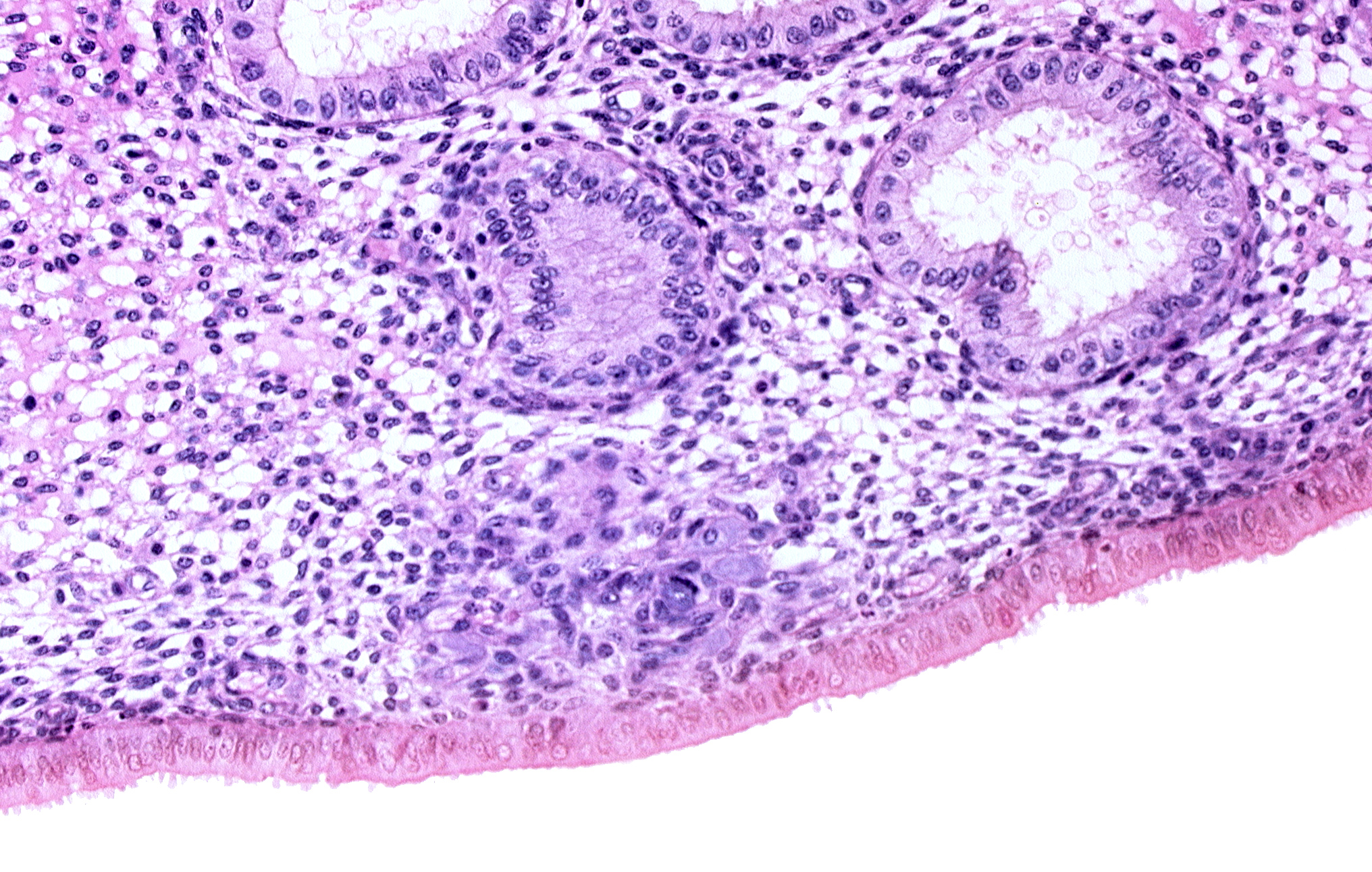
Carnegie Embryo #8020 | Location: 05-04-04
Keywords: edematous endometrial stroma (decidua), endometrial epithelium, endometrial gland, endometrial sinusoid, lumen of endometrial gland, solid syncytiotrophoblast
Source: The Virtual Human Embryo.
