
0 μm
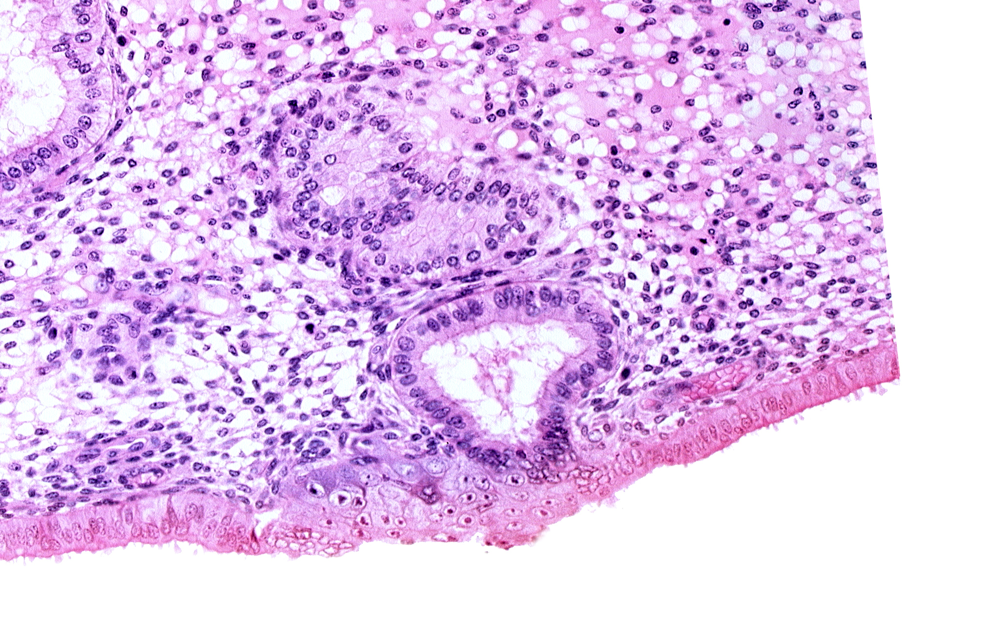
Carnegie Embryo #8020 | Location: 06-05-03
Keywords: disrupted endometrial epithelium, edematous endometrial stroma (decidua), endometrial epithelium, endometrial gland, solid syncytiotrophoblast
Source: The Virtual Human Embryo.

