Skip Navigation

Carnegie Stage Section
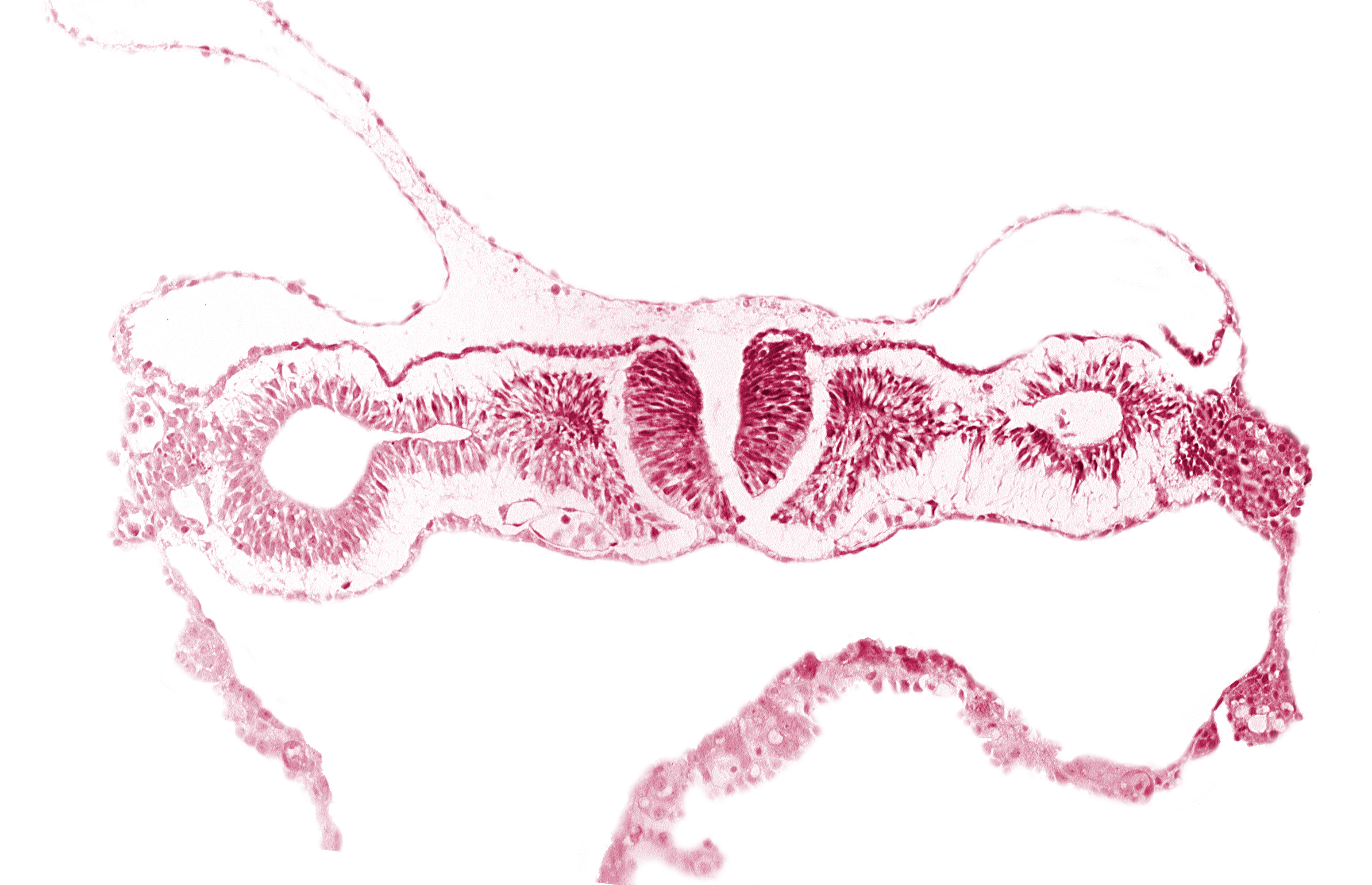
artifact separation(s), dorsal aorta, midgut, neural fold [rhombencephalon (Rh. D)], primordial peritoneal cavity, somite 1 (O-1)
0 μm
Carnegie Embryo #6330   |   Location: 02-01-10

Keywords: artifact separation(s), dorsal aorta, midgut, neural fold [rhombencephalon (Rh. D)], primordial peritoneal cavity, somite 1 (O-1)

Source: The Virtual Human Embryo.