
0 μm
Carnegie Embryo #8155 | Location: 04-02-09
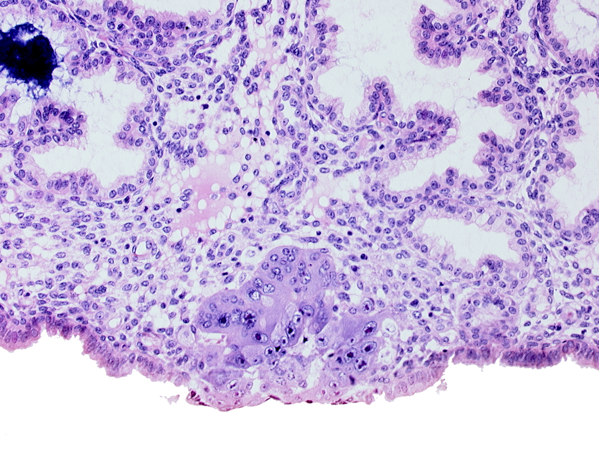
Keywords: blastocystic cavity (blastocoele), cytotrophoblast, epiblast, hypoblast, syncytiotrophoblast
Source: The Virtual Human Embryo.

Keywords: blastocystic cavity (blastocoele), cytotrophoblast, epiblast, hypoblast, syncytiotrophoblast
Source: The Virtual Human Embryo.