
0 μm
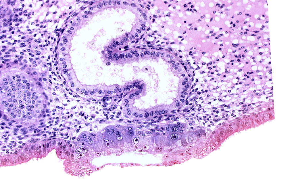
Carnegie Embryo #8020 | Location: 06-03-06
Keywords: blastocystic cavity (blastocoele), cytotrophoblast, endometrial epithelium, solid syncytiotrophoblast, trophoblast, uterine cavity
Source: The Virtual Human Embryo.

Keywords: blastocystic cavity (blastocoele), cytotrophoblast, endometrial epithelium, solid syncytiotrophoblast, trophoblast, uterine cavity
Source: The Virtual Human Embryo.