
0 μm
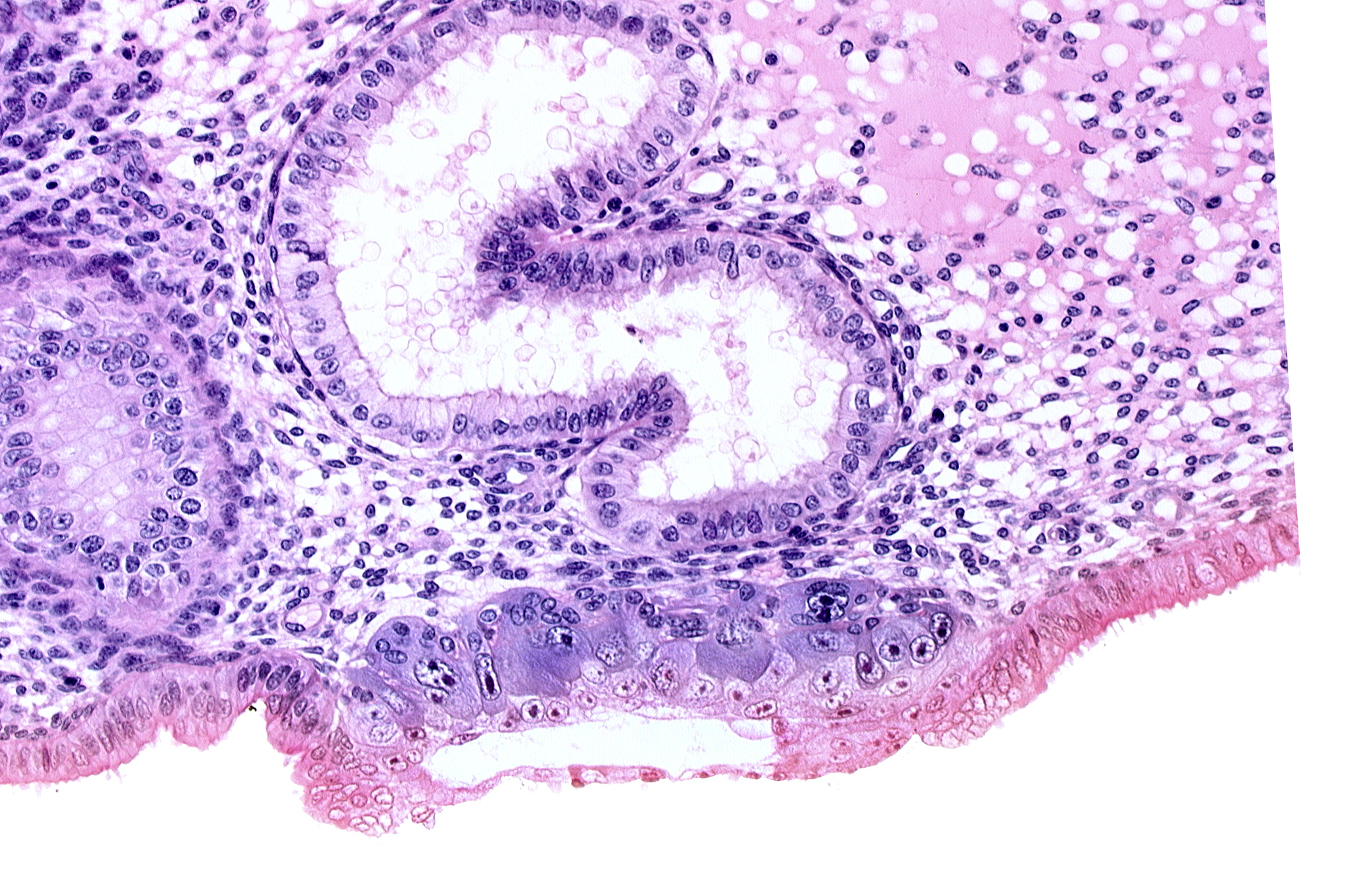
Carnegie Embryo #8020 | Location: 06-03-05
Keywords: blastocystic cavity (blastocoele), cytotrophoblast, edematous endometrial stroma (decidua), endometrial epithelium, solid syncytiotrophoblast, trophoblast
Source: The Virtual Human Embryo.

