

0 μm
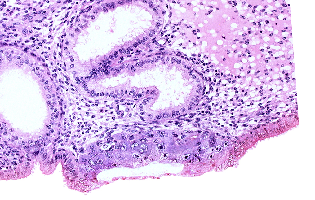
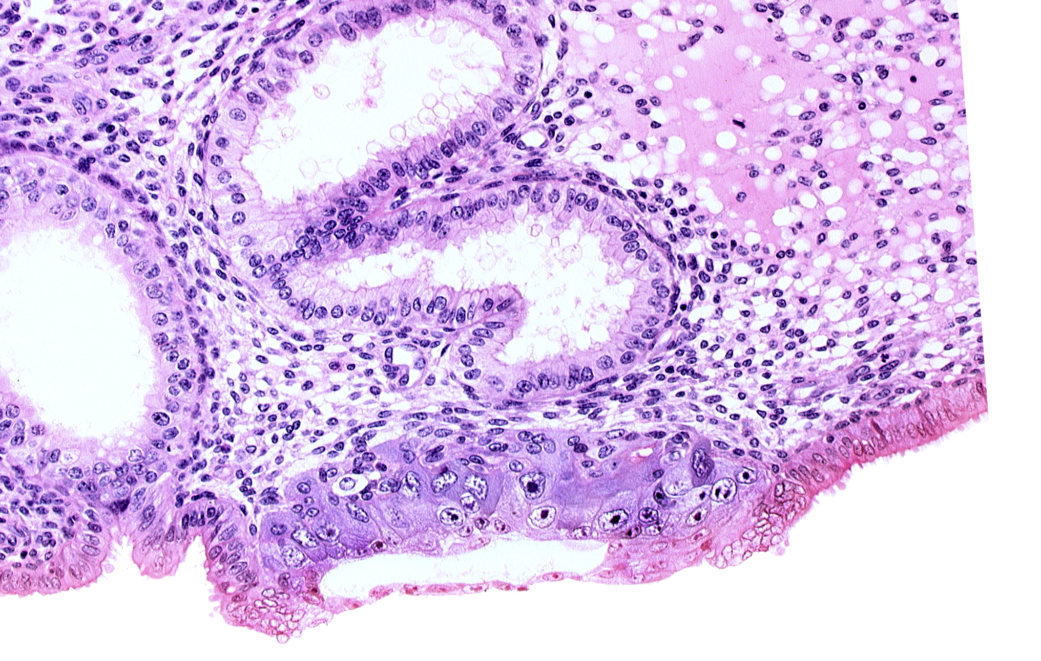
Carnegie Embryo #8020 | Location: 06-03-02
Keywords: blastocystic cavity (blastocoele), cytotrophoblast, edematous endometrial stroma (decidua), endometrial epithelium, membranous trophoblast at abembryonic pole, solid syncytiotrophoblast, uterine cavity
Source: The Virtual Human Embryo.