
0 μm
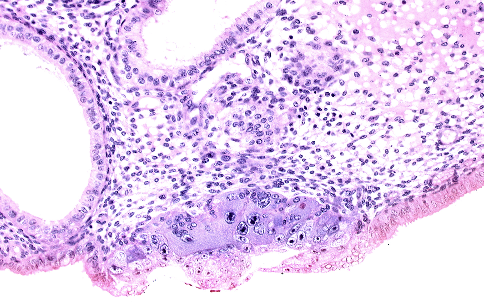
Carnegie Embryo #8020 | Location: 06-02-03
Keywords: blastocystic cavity (blastocoele), embryonic disc, endometrial sinusoid, membranous trophoblast at abembryonic pole, syncytiotrophoblast / decidua interface
Source: The Virtual Human Embryo.

