
0 μm
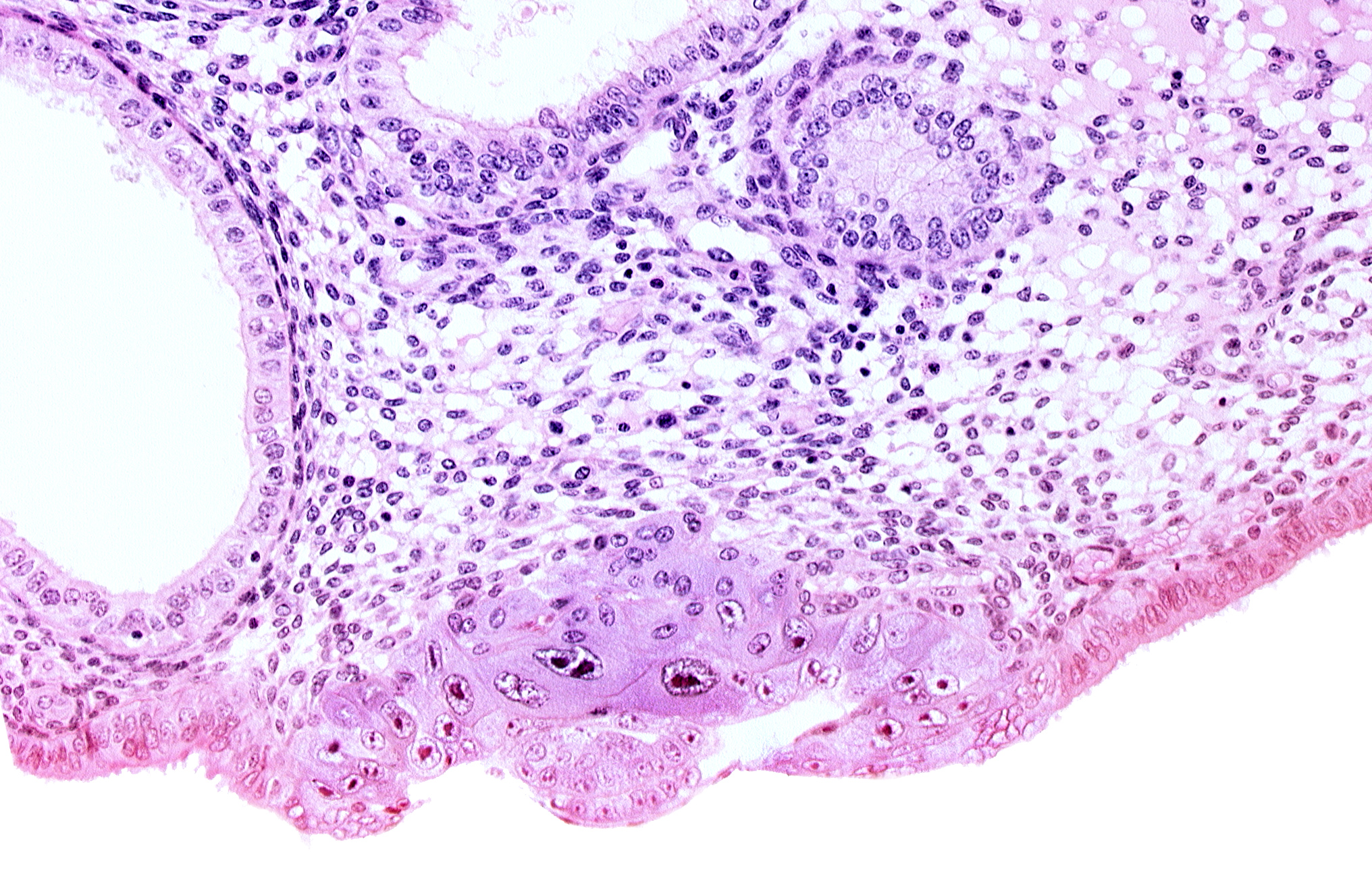
Carnegie Embryo #8020 | Location: 06-01-09
Keywords: amniotic cavity, blastocystic cavity (blastocoele), cytotrophoblast, embryonic disc, endometrial gland, endometrial sinusoid, solid syncytiotrophoblast, uterine cavity
Source: The Virtual Human Embryo.

