
0 μm
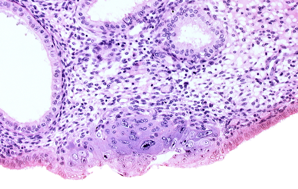
Carnegie Embryo #8020 | Location: 06-01-07
Keywords: blastocystic cavity (blastocoele), cytotrophoblast, edematous endometrial stroma (decidua), edge of endometrial gland, embryonic disc, endometrial epithelium, membranous trophoblast at abembryonic pole, solid syncytiotrophoblast, syncytiotrophoblast / decidua interface
Source: The Virtual Human Embryo.

