
0 μm
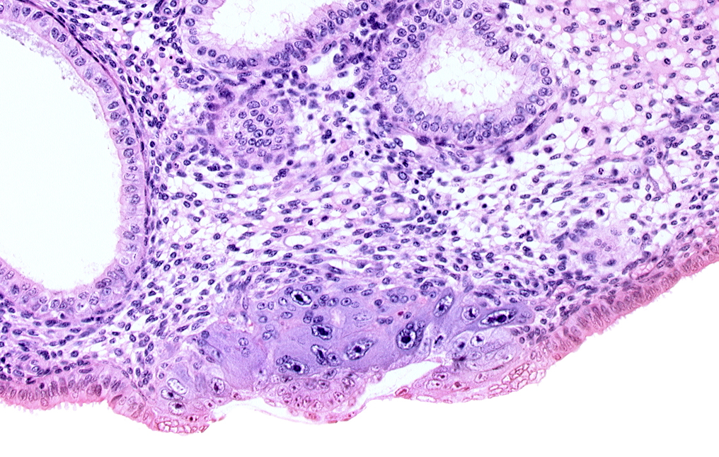
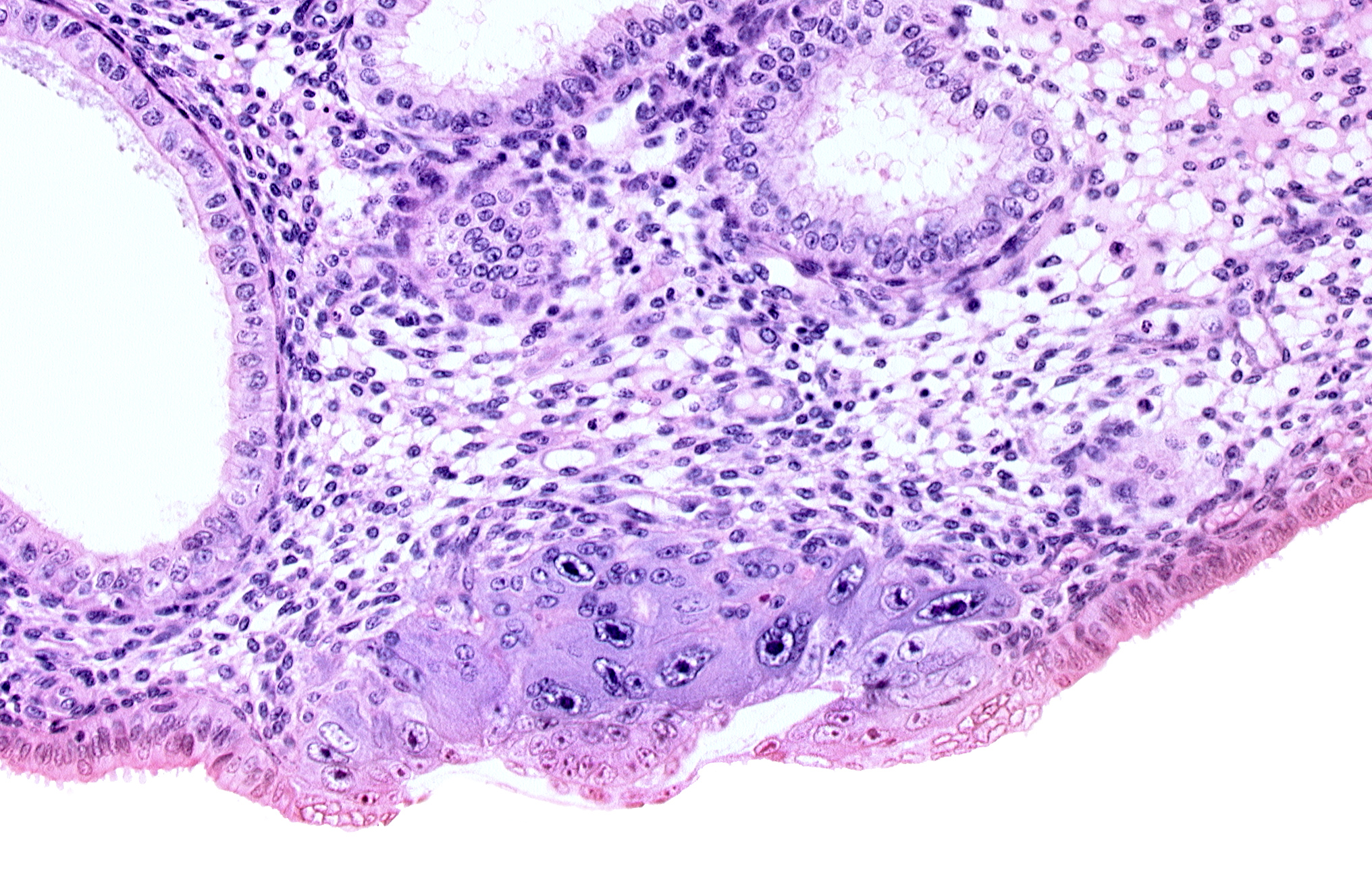
Carnegie Embryo #8020 | Location: 06-01-06
Keywords: blastocystic cavity (blastocoele), edge of endometrial sinusoid, embryonic disc, endometrial gland, membranous trophoblast at abembryonic pole, solid syncytiotrophoblast, uterine cavity
Source: The Virtual Human Embryo.
