
0 μm
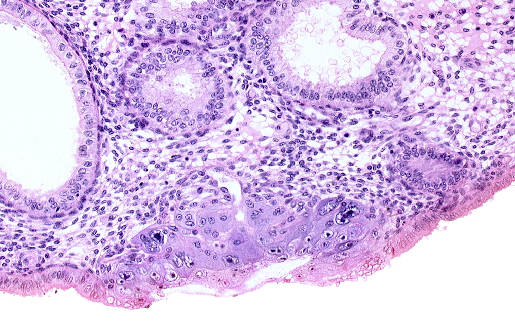
Carnegie Embryo #8020 | Location: 06-01-03
Keywords: blastocystic cavity (blastocoele), edematous endometrial stroma (decidua), embryonic disc, endometrial gland, endometrial sinusoid, membranous trophoblast at abembryonic pole
Source: The Virtual Human Embryo.

