
0 μm
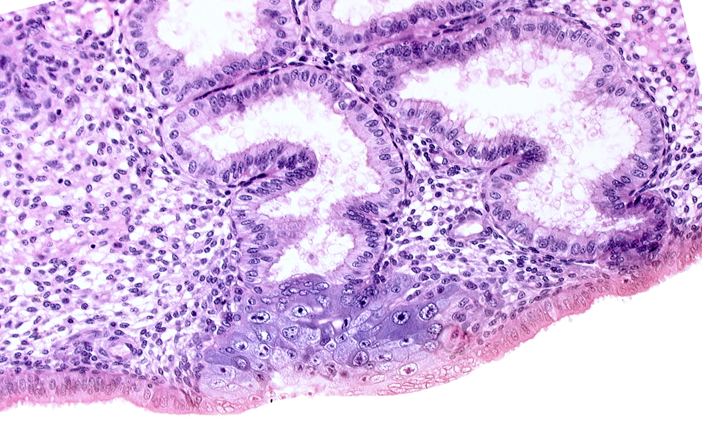
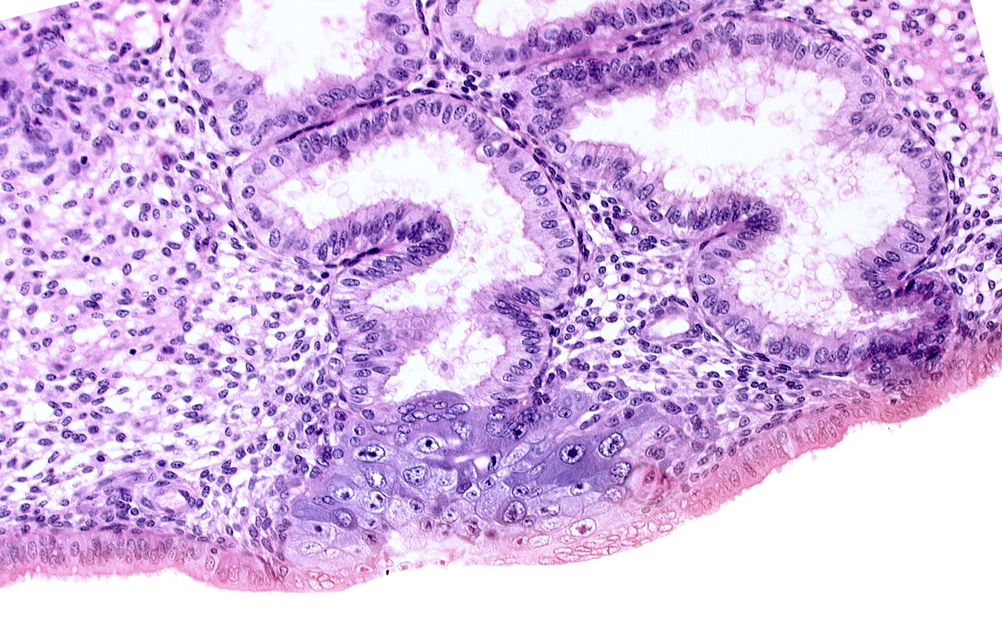
Carnegie Embryo #8020 | Location: 05-05-06
Keywords: cytotrophoblast, edematous endometrial stroma (decidua), endometrial epithelium, endometrial gland, endometrial sinusoid, membranous trophoblast at abembryonic pole, solid syncytiotrophoblast
Source: The Virtual Human Embryo.

