
0 μm
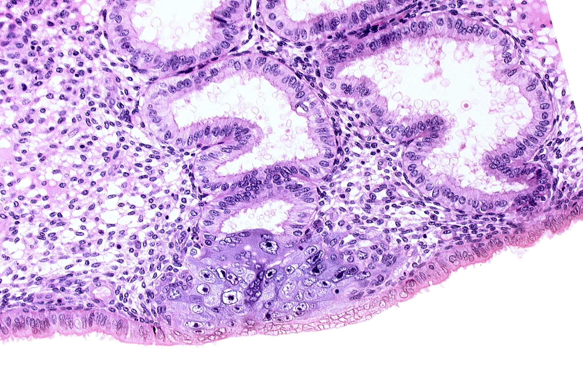
Carnegie Embryo #8020 | Location: 05-05-04
Keywords: cytotrophoblast, edge of endometrial gland, endometrial epithelium, endometrial gland, endometrial sinusoid, solid syncytiotrophoblast, uterine cavity
Source: The Virtual Human Embryo.

