


0 μm
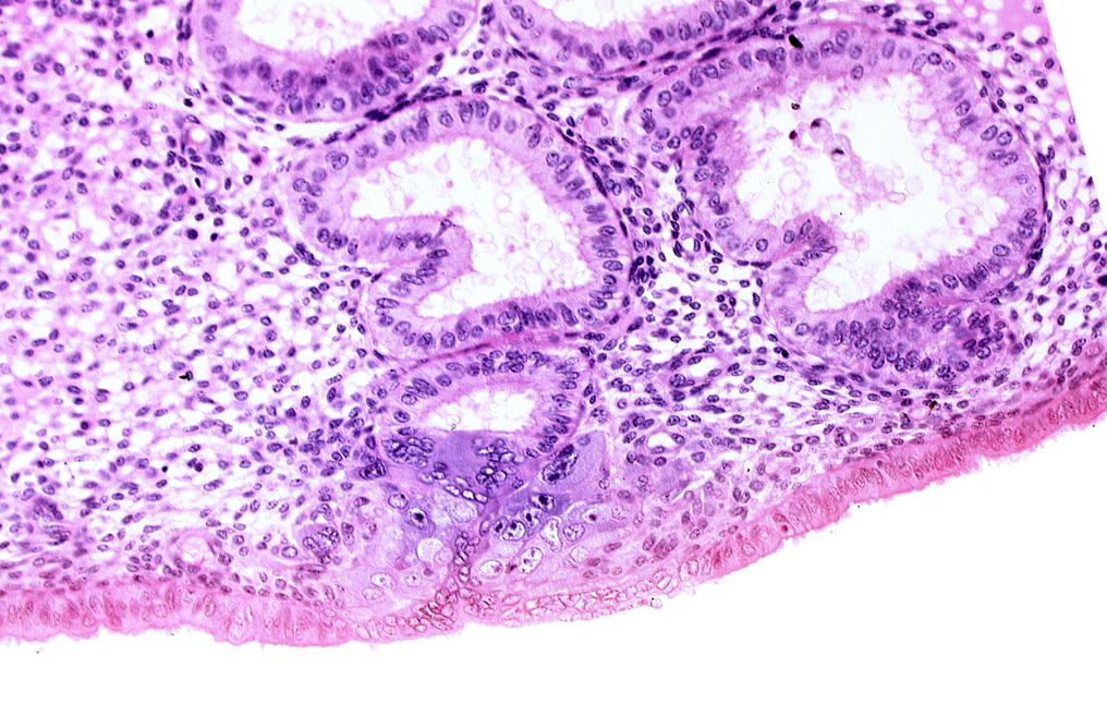
Carnegie Embryo #8020 | Location: 05-05-01
Keywords: cytotrophoblast, endometrial epithelium, endometrial gland, endometrial sinusoid, solid syncytiotrophoblast, uterine cavity
Source: The Virtual Human Embryo.
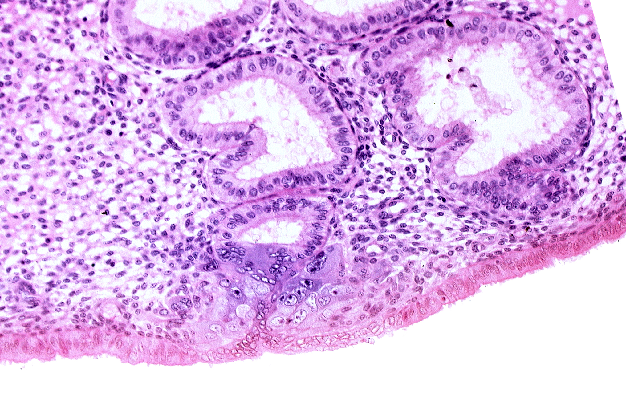
Keywords: cytotrophoblast, endometrial epithelium, endometrial gland, endometrial sinusoid, solid syncytiotrophoblast, uterine cavity
Source: The Virtual Human Embryo.