
0 μm
Carnegie Embryo #8020 | Location: 05-04-07
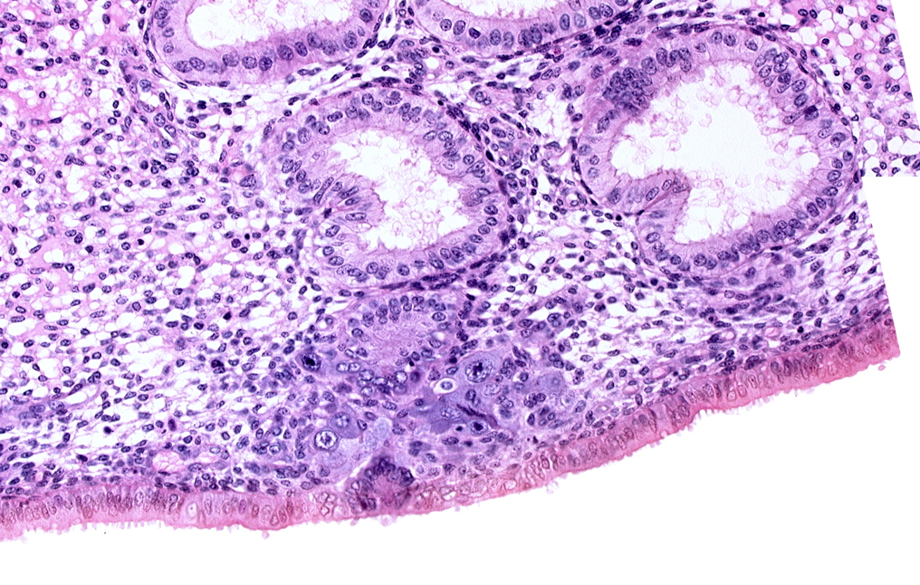
Keywords: edematous endometrial stroma (decidua), endometrial epithelium, endometrial gland, endometrial sinusoid, solid syncytiotrophoblast
Source: The Virtual Human Embryo.

Keywords: edematous endometrial stroma (decidua), endometrial epithelium, endometrial gland, endometrial sinusoid, solid syncytiotrophoblast
Source: The Virtual Human Embryo.