Skip Navigation
Hosted by
The Virtual Human Embryo
Digitally Reproduced Embryonic Morphology
Embryonic Ages & Stages
Virtual Human Embryo Website
About the Project
Index
Stage 1
/ 1 day
Stage 2
/ 2-3 days
Stage 3-1
/ 4 days
Stage 3-2
/ 4-5 days
Stage 4
/ 6 days
Stage 5a-1
/ 7 days
Stage 5a-2
/ 8 days
Stage 5b
/ 9 days
Stage 5c
/ 12 days
Stage 6
/ 13-17 days
Stage 7
/ 16-19 days
Stage 8
/ 23 days
Stage 9
/ 25 days
Stage 10
/ 28 days
Stage 11
/ 29 days
Stage 12
/ 30 days
Stage 13
/ 32 days
Stage 14
/ 33 days
Stage 15
/ 36 days
Stage 16
/ 39 days
Stage 17
/ 41 days
Stage 18
/ 44 days
Stage 19
/ 45-47 days
Stage 20
/ 49 days
Stage 21
/ 49-52 days
Stage 22
/ 52-55 days
Stage 23
/ 56 days
Stage Home
Movies
Sections
Figures
Introduction
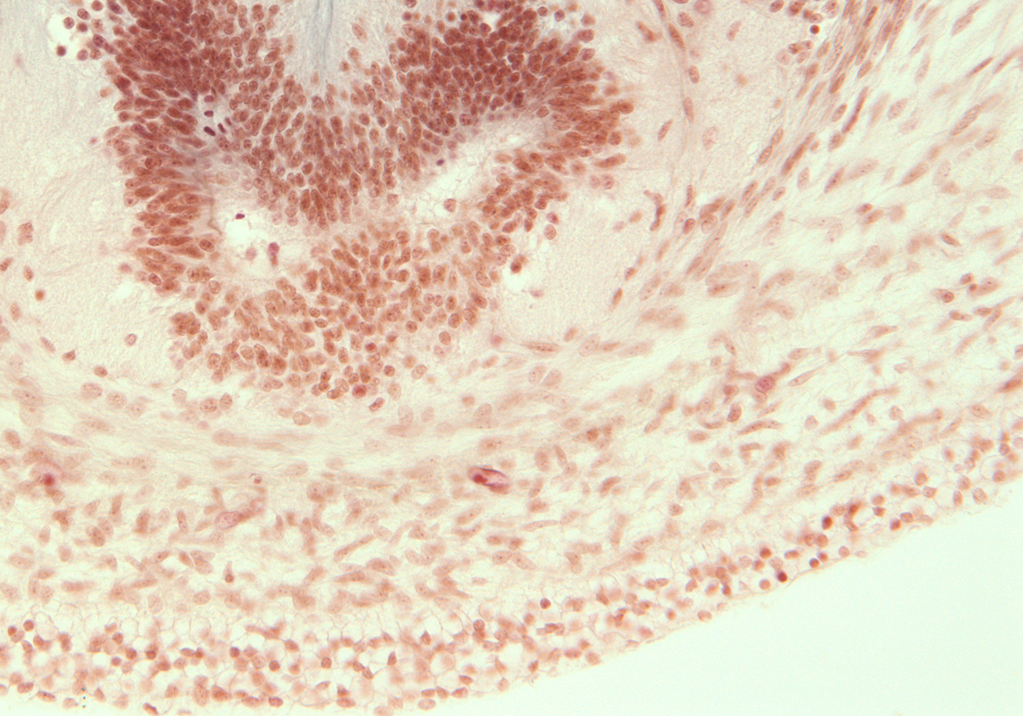
Tissue
–
Caudal End of Spinal Cord
Carnegie Embryo #9226
Location:
207-01-01
Up
Down
Zoom
Zoom In
Zoom Out
Back to Section 207
0 μm
Source:
The Virtual Human Embryo
.