 
		 
		
0 μm
	
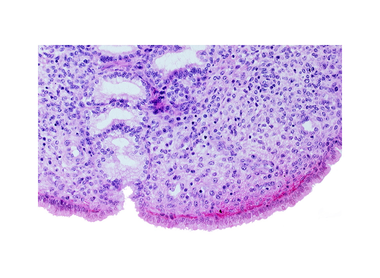
			Carnegie Embryo #8004   |   Location: 10-04-05
		
	
		Keywords: endometrial sinusoid, endometrial stroma (decidua), intact endometrial epithelium, uterine cavity
Source: The Virtual Human Embryo.
 
		 
		
Keywords: endometrial sinusoid, endometrial stroma (decidua), intact endometrial epithelium, uterine cavity
Source: The Virtual Human Embryo.