| Prev | Carnegie Stage 5b |
Next |
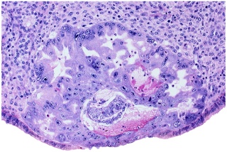
IntroductionStage 5b specimens have an estimated postfertilization age of 9 days with a conceptus diameter of approximately 0.1 mm. The distinguishing characteristic at this substage is the presence of numerous irregular, slit like lacunae within the cytoplasm of the syncytiotrophoblast. Most of the lacunae communicate with each other and with the endometrial sinusoids but they contain relatively little maternal blood. Read more... |
Section 47(View All Sections) |
Also on EHD: Heart and Brain |
Implantation SiteMore Movies... |
Reconstruction of ovumMore Figures... |



