
0 μm
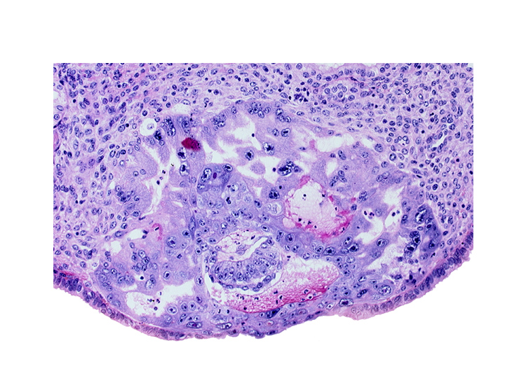
Carnegie Embryo #8004 | Location: 11-02-03
Keywords: amnioblast(s), amniotic cavity, cytotrophoblast, disrupted endometrial epithelium, endometrial sinusoid, epiblast, intact endometrial epithelium, intercommunicating trophoblastic lacunae, syncytiotrophoblast, uterine cavity
Source: The Virtual Human Embryo.
