 
		 
		
0 μm
	
			Carnegie Embryo #8004   |   Location: 11-02-01
		
	
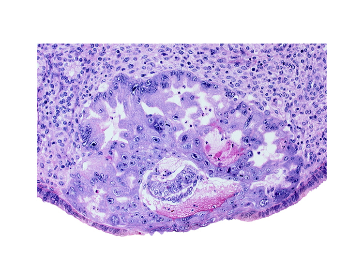
		Keywords: amnioblast(s), amniotic cavity, cytotrophoblast, epiblast, extra-embryonic endoblast, hypoblast, maternal blood cells in primary umbilical vesicle cavity, syncytiotrophoblast
Source: The Virtual Human Embryo.

 
	
	
	