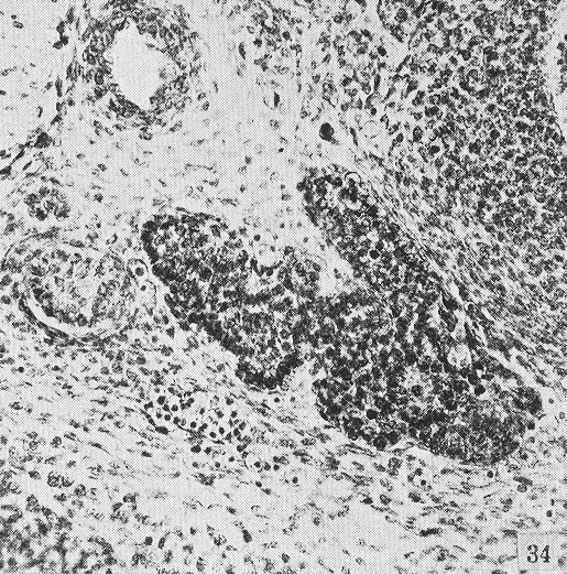
Transverse section of the median thyroid of embryo number 4430. A portion of the pharynx is shown in the upper right corner of the figure.
Weller, 1933.
Keywords: median thyroid, pharynx
Source: The Virtual Human Embryo.
Transverse section of the median thyroid of embryo number 4430. A portion of the pharynx is shown in the upper right corner of the figure.
Weller, 1933.
Keywords: median thyroid, pharynx
Source: The Virtual Human Embryo.