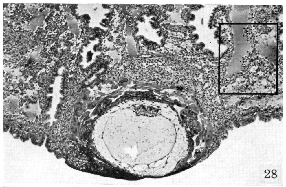
A low-power view to show the orientation of the embryo to the large arteriovenous sinusoids supplying blood to the trophoblast lacunae. The rectangle encloses the sinusoid seen more in detail in figure 29.
Fig. 28. Hertig and Rock, 1941.
Keywords: arteriovenous sinusoid, embryo, trophoblast lacunae
Source: The Virtual Human Embryo.
