Skip Navigation
Hosted by
The Virtual Human Embryo
Digitally Reproduced Embryonic Morphology
Embryonic Ages & Stages
Virtual Human Embryo Website
About the Project
Index
Stage 1
/ 1 day
Stage 2
/ 2-3 days
Stage 3-1
/ 4 days
Stage 3-2
/ 4-5 days
Stage 4
/ 6 days
Stage 5a-1
/ 7 days
Stage 5a-2
/ 8 days
Stage 5b
/ 9 days
Stage 5c
/ 12 days
Stage 6
/ 13-17 days
Stage 7
/ 16-19 days
Stage 8
/ 23 days
Stage 9
/ 25 days
Stage 10
/ 28 days
Stage 11
/ 29 days
Stage 12
/ 30 days
Stage 13
/ 32 days
Stage 14
/ 33 days
Stage 15
/ 36 days
Stage 16
/ 39 days
Stage 17
/ 41 days
Stage 18
/ 44 days
Stage 19
/ 45-47 days
Stage 20
/ 49 days
Stage 21
/ 49-52 days
Stage 22
/ 52-55 days
Stage 23
/ 56 days
Stage Home
Movies
Sections
Figures
Introduction
Carnegie Stage 5c Figures
Surface view of implantation site
Surface view of implantation site
Detailed view of implantation site
Lateral view of implantation site
Side view of implantation site
Implantation site in cleared celloidin block
Implantation site in cleared celloidin block
Low-power view of embryo and surrounding endometrium
Section through middle of specimen
High-power view of midsagittal section
Attachment of trophoblast to exocoelomic (Heuser's) membrane
Bilaminar embryonic disc
High-power view of embryo
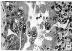
Part of abembryonic trophoblast
High-power view of embryo
Low-power view
Detail of arteriovenous sinusoid
Chorionic villus primordium
Part of the trophoblast
Arteriovenous sinusoid and capillary branch
Forming syncytiotrophoblastic vacuole
General view of specimen
Embryo 7700 original glass slides 4
Embryo 7700 original glass slides 5
Embryo 7700 original glass slides 6
Embryo 7700 original glass slides 7
Clinical history
Age of the embryo
Dimensions
Title page
Source:
The Virtual Human Embryo
.