Skip Navigation
Hosted by
The Virtual Human Embryo
Digitally Reproduced Embryonic Morphology
Embryonic Ages & Stages
Virtual Human Embryo Website
About the Project
Index
Stage 1
/ 1 day
Stage 2
/ 2-3 days
Stage 3-1
/ 4 days
Stage 3-2
/ 4-5 days
Stage 4
/ 6 days
Stage 5a-1
/ 7 days
Stage 5a-2
/ 8 days
Stage 5b
/ 9 days
Stage 5c
/ 12 days
Stage 6
/ 13-17 days
Stage 7
/ 16-19 days
Stage 8
/ 23 days
Stage 9
/ 25 days
Stage 10
/ 28 days
Stage 11
/ 29 days
Stage 12
/ 30 days
Stage 13
/ 32 days
Stage 14
/ 33 days
Stage 15
/ 36 days
Stage 16
/ 39 days
Stage 17
/ 41 days
Stage 18
/ 44 days
Stage 19
/ 45-47 days
Stage 20
/ 49 days
Stage 21
/ 49-52 days
Stage 22
/ 52-55 days
Stage 23
/ 56 days
Stage Home
Movies
Sections
Figures
Introduction
Carnegie Stage 14 Figures
Right lateral view of the embryo prior to sectioning
Left lateral view of the embryo prior to sectioning
Animation made from a stereo pair of photographs
Frontal projection of the epithelium of the trachea and primary bronchi
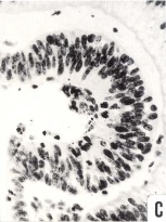
Section through the pulmonary region - Figure
Section through the pulmonary region - Drawing
Section through the pulmonary region - Section
Section through the pulmonary region - Overlay
Drawing made from a reconstruction of the brain of embryo 6502
Drawings of the sections through the brain of 6502
Section through the lens - Figure
Section through the lens - Drawing
Section through the lens - Section
Section through the lens - Overlay
Section through the lens - Overlay
Source:
The Virtual Human Embryo
.