Skip Navigation
Hosted by
The Virtual Human Embryo
Digitally Reproduced Embryonic Morphology
Embryonic Ages & Stages
Virtual Human Embryo Website
About the Project
Index
Stage 1
/ 1 day
Stage 2
/ 2-3 days
Stage 3-1
/ 4 days
Stage 3-2
/ 4-5 days
Stage 4
/ 6 days
Stage 5a-1
/ 7 days
Stage 5a-2
/ 8 days
Stage 5b
/ 9 days
Stage 5c
/ 12 days
Stage 6
/ 13-17 days
Stage 7
/ 16-19 days
Stage 8
/ 23 days
Stage 9
/ 25 days
Stage 10
/ 28 days
Stage 11
/ 29 days
Stage 12
/ 30 days
Stage 13
/ 32 days
Stage 14
/ 33 days
Stage 15
/ 36 days
Stage 16
/ 39 days
Stage 17
/ 41 days
Stage 18
/ 44 days
Stage 19
/ 45-47 days
Stage 20
/ 49 days
Stage 21
/ 49-52 days
Stage 22
/ 52-55 days
Stage 23
/ 56 days
Stage Home
Movies
Sections
Figures
Introduction
Carnegie Stage 4 Figures
Embryo attached to an endometrial cell culture
Embryo attached to an endometrial cell culture
Embryo attached to an endometrial cell culture
Embryo attached to a monolayer culture
Embryo attached to a monolayer culture
The surface of an embryo attached to a monolayer culture
Contact area between the embryo and the endometrial cell culture
Details of the contact zone
Blastocyst attached to the endometrial cell culture
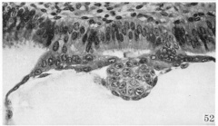
The most peripheral contact area
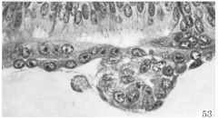
Contact area
Contact area
Long slender projection of a cytotrophoblast cell
Mural trophoblast
Details of the contact zone
Graphic reconstruction
Top view of embryo
Profile view of embryo
Gross view of embryo
Section 3-4-4
Section 3-3-14
Section 3-4-3
Section 3-4-4
Section 3-4-5
Section 3-4-6
Section 3-4-8
Title page
Source:
The Virtual Human Embryo
.