Skip Navigation
Hosted by
The Virtual Human Embryo
Digitally Reproduced Embryonic Morphology
Embryonic Ages & Stages
Virtual Human Embryo Website
About the Project
Index
Stage 1
/ 1 day
Stage 2
/ 2-3 days
Stage 3-1
/ 4 days
Stage 3-2
/ 4-5 days
Stage 4
/ 6 days
Stage 5a-1
/ 7 days
Stage 5a-2
/ 8 days
Stage 5b
/ 9 days
Stage 5c
/ 12 days
Stage 6
/ 13-17 days
Stage 7
/ 16-19 days
Stage 8
/ 23 days
Stage 9
/ 25 days
Stage 10
/ 28 days
Stage 11
/ 29 days
Stage 12
/ 30 days
Stage 13
/ 32 days
Stage 14
/ 33 days
Stage 15
/ 36 days
Stage 16
/ 39 days
Stage 17
/ 41 days
Stage 18
/ 44 days
Stage 19
/ 45-47 days
Stage 20
/ 49 days
Stage 21
/ 49-52 days
Stage 22
/ 52-55 days
Stage 23
/ 56 days
Stage Home
Movies
Sections
Figures
Introduction
Carnegie Stage 7 Figures
Dorsal view and median reconstruction in alignment
Median reconstruction
Dorsal view
Implantation site (surface view)
Side view of implantation site
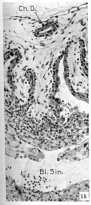
Section of tissues at the implantation site
The chorionic vesicle
Section 44-3-3
Section 44-2-2
Section 44-1-2
Section 42-2-5
Illustration
Implantation site
Endometrial surface
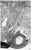
Section through the implanted embryo
Enlarged part of the preceding section
Chorionic duct
Cytotrophoblast
Cyst
Transition zone
Germ disc
Head process
Primitive node
Primitive streak
Amniotic duct
Primitive streak
Caudal end
Umbilical vesicle process
Allantoic duct
Median sagittal plane - Drawing
Median sagittal plane - Sections
Median sagittal plane - Labeled drawing
Median sagittal plane - Labeled sections
Embryo 7802 original glass slides 41
Embryo 7802 original glass slides 42
Embryo 7802 original glass slides 43
Embryo 7802 original glass slides 44
Embryo 7802 original glass slides 45
Embryo 7802 original glass slides 46
Clinical history
Age of the embryo
Description of specimen
Title page
Source:
The Virtual Human Embryo
.