Skip Navigation
Hosted by
The Virtual Human Embryo
Digitally Reproduced Embryonic Morphology
Embryonic Ages & Stages
Virtual Human Embryo Website
About the Project
Index
Stage 1
/ 1 day
Stage 2
/ 2-3 days
Stage 3-1
/ 4 days
Stage 3-2
/ 4-5 days
Stage 4
/ 6 days
Stage 5a-1
/ 7 days
Stage 5a-2
/ 8 days
Stage 5b
/ 9 days
Stage 5c
/ 12 days
Stage 6
/ 13-17 days
Stage 7
/ 16-19 days
Stage 8
/ 23 days
Stage 9
/ 25 days
Stage 10
/ 28 days
Stage 11
/ 29 days
Stage 12
/ 30 days
Stage 13
/ 32 days
Stage 14
/ 33 days
Stage 15
/ 36 days
Stage 16
/ 39 days
Stage 17
/ 41 days
Stage 18
/ 44 days
Stage 19
/ 45-47 days
Stage 20
/ 49 days
Stage 21
/ 49-52 days
Stage 22
/ 52-55 days
Stage 23
/ 56 days
Stage Home
Movies
Sections
Figures
Introduction
Carnegie Stage 3-1 Figures
Time line for optimal development
Cell designation hypotheses
Beginning of cavitation
Early cavitation
Advanced cavitation
Final cavitation
Embryo prior to hatching
Inner cell mass (embryoblast) and trophoblast
Zona pellucida
Inner cell mass (embryoblast)
Inside view
Axes of the blastocyst
In vivo
embryo
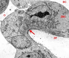
Blastocystic cavity (blastocoele), inner cell mass (embryoblast), trophoblast, and zona pellucida
Polar trophoblast
Junction area of trophoblast and zona pellucida
Schematic of trophoblast cell junctions
Junctional region of two trophoblast cells
Junctional complex between two trophoblast cells
Junctional complex between two trophoblast cells
Cell junction between two trophoblast cells
Apical tight junction between two trophoblast cells
Basal tight junction between two trophoblast cells
Virus like particles in the intercellular space
Junction of epiblast and hypoblast
Two adjacent epiblast cells of the inner cell mass (embryoblast)
Cytoplasmic inclusions in an epiblast cell
Portion of the nucleus of an epiblast cell
Portion of the nucleus of an epiblast cell
Hypoblast cell
Hypoblast cell
Expansion and contraction
Blastocystic cavity (blastocoele) partially collapsed
A section through the inner cell mass (embryoblast) of an unexpanded embryo
A section through inner cell mass (embryoblast) of an expanded embryo
Embryo before hatching
Morphological changes during hatching
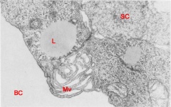
Trophoblast projections
Trophoblast herniation
Partially hatched embryo
Terminal phase of hatching
Completed hatching process
An embryo at the beginning of hatching
An embryo undergoing hatching
An embryo in the partial phase of hatching
Partial phase of hatching
Hatching point
Plump zona-breaker cells near the hatching point
Plump zona-breaker cells near the hatching point
Hatching point
Hatching point
Desmosome-type junction between two trophoblast cells
Tight junction and a gap junction between two trophoblast cells
Trophoblast projection
Sequestered cells between zona pellucida and trophoblast
Sequestered cells in polar trophoblast region
Sequestered cells in polar trophoblast region
Sequestered cell
Early embryo showing details of mitochondria
Expanding embryo showing details of a mitochondrion
Expanded embryo showing details of mitochondria within a trophoblast cell
Hatched embryo showing details of mitochondria
Hatched embryo showing details of an apparently elongating mitochondrion
Embryo 8794
Embryo 8794
Embryo 8794
Embryo 8794
Embryo 8794
Embryo 8794
Embryo 8794
Embryo 8794
Embryo 8794
Embryo 8794
Embryo 8794
Embryo 8794
Age of the Embryo
Dimensions
Clinical history
Description of specimen
Source:
The Virtual Human Embryo
.